Benefits

Why choose Celtra Press?

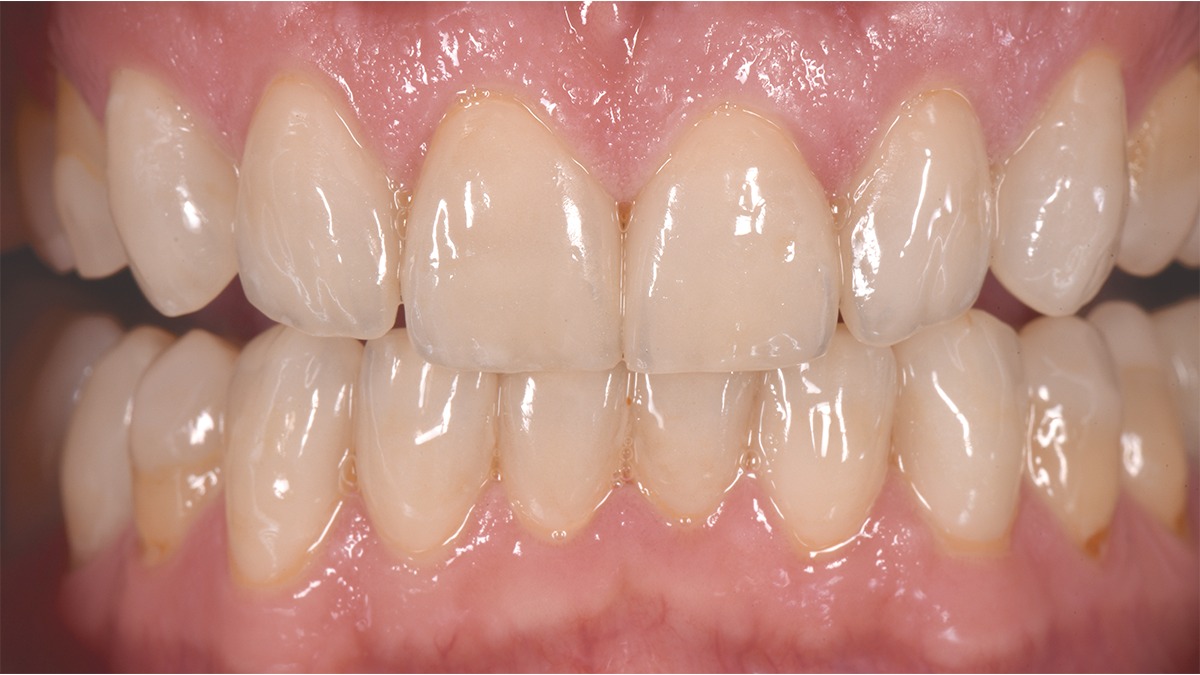
Fascinating esthetics unmatched

The only material option delivering the highest level of esthetics mimicking natural teeth.

Efficiency that pays off

Time and money saving properties

Strength to rely on

Exceptional flow and strength increases confidence in complex case designs.

Simplicity that matters

Doing more with less inventory

High esthetic veneering with Celtra Ceram

Celtra Ceram is a low-fusing, leucite-reinforced feldspathic ceramic capable of veneering Celtra Press, conventional lithium silicate and zirconia frameworks.

Perfect pressing even for highly complex, thin cases

Celtra Press Investment is especially developed for Celtra Press. The combination of exceptional flow coupled with a low reactivity investment eliminates conventional processing steps and yields more precise pressings resulting in better fitting restorations.

Life-like opalescence and translucency in sunlight

Highest level of esthetics

The only material option delivering the highest level of esthetics mimicking natural teeth.

"The processing characteristics of the material are sensational: Its excellent flow properties simplify the process and help save time. Sprueing is greatly simplified, as only a single sprue is needed, and there is only a minimal reaction layer when using the new Celtra Press investment, resulting in a very smooth surface. Rapid heating and extremely precise expansion control provide an excellent fit. In short: Significantly higher productivity in the lab."

Markus Stork | Stork Zahntechnik | Braunschweig, Germany

"I have full confidence in Celtra Press because it offers significantly more strength – more than 500 MPa – than any otherwise comparable material. After dynamical aging high fracture load were obtained, as chewing simulations has showed by University Regensburg and Heidelberg."

Dr. Mischa Krebs | Alzey, Germany

Developed to make a difference

Celtra Press Video Gallery

Celtra Press scientific video
Celtra Press cutback technique with Celtra Ceram
Celtra Press fully veneered with Celtra Ceram
Celtra Press workflow video with testimonials
Excellent esthetics in monolithic restorations

Downloads

Further downloads are provided within our Download Center.

475 KB

Contact us

Find out more about our products and solutions for the Dental Laboratory.

Sources:

1)  3-point flexural strength: Inhouse measurement Dentsply Sirona; Flexural strength testing: Justus-Liebig-University Giessen, Germany

2) VITA, VITA classical A1–D4, and 3D-MASTER are registered trademarks of VITA Zahnfabrik H. Rauter GmbH & Co. KG.