Benefits

Why choose CEREC Tessera?

High-strength glass ceramic block

Up to 32% stronger than the competition with biaxial strength measured at more than 700 MPa.1

Tooth-like esthetics

The dual crystal stucture interacts with the visible light spectrum for ideal translucence, flourescence and opalescence.

Fast total processing time

Clinicians can save up to 44% of total processing time (grinding and firing) without compromising on the full range of esthetic options.1

Broad Case Indications

Indicated for use for single-unit full contour crowns, inlays, onlays, and veneers.

1. Internal data on file. For more information, contact Consumables-Data-Requests@dentsplysirona.com

ABOUT ADVANCED LITHIUM DISILICATE

An innovative material

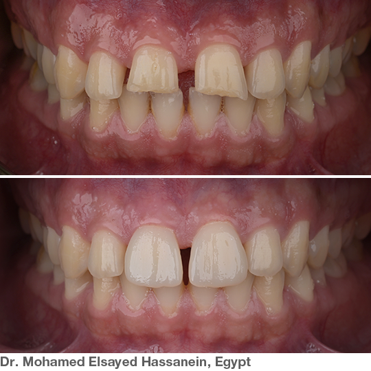
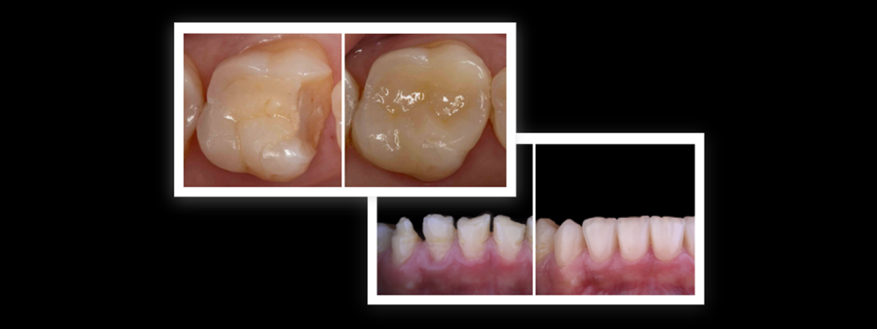
TESTIMONIALS

What dental professionals are saying

"Margins milled beautifully. The shade worked out nicely for this case! No adjustments were needed."

Shivi Gupta, DDS

“The firing time is a game changer with this material.”

Michael Snider, DMD

ABOUT CEREC TESSERA

Performance Where it Counts Most

1. Internal data on file. For more information, contact Consumables-Data-Requests@dentsplysirona.com

1. Internal data on file. For more information, contact Consumables-Data-Requests@dentsplysirona.com

1. Internal data on file. For more information, contact Consumables-Data-Requests@dentsplysirona.com

SINGLE-UNIT CROWN WORKFLOW

Super-Fast Processing

CEREC Tessera blocks enable unprecedented processing speed for greater patient satisfaction and a more productive practice, requiring only 4.5 minutes in a CEREC SpeedFire furnace1, even with stains.

CHAIRSIDE IMPLANT TIBASE RESTORATION PROCEDURE

Leverage a full workflow solution for restorative performance

CEREC Tessera blocks are designed for the in-office workflow and can be finished quickly and reliably. Turn to this powerful combination for more efficient workflows. Combine all the elements for implant TiBase restoration success.

The Workflow

In this workflow, a CEREC Tessera abutment block is used as full-coverage crown that is extraorally cemented to a TiBase. It is then screwed into the implant system. Composite (like Ceram.x Spectra ST) is used to fill the screw channel and complete the restoration.

Primescan and CEREC Software offer speed, simplicity and accuracy in high resolution digital impressions for improved clinical outcomes and profit potential.

CEREC Primemill delivers quality, speed, convenience, and versatility for outstanding margins and surface details.

CEREC SpeedFire is the smallest and fastest sintering furnace available. Glaze CEREC Tessera abutment crowns in about 4.5 minutes.

  • Substrate preparation
  • Extraoral cementation TiBase/Ceramic Structure
  • Screwing in the hybrid abutment crown intraorally

The Workflow

In this workflow, a CEREC Tessera abutment block is used to create a custom abutment to which any full-coverage crown can be cemented. CEREC Tessera abutment block is extraorally cemented to a TiBase and screwed into the implant system . A full-coverage crown is then cemented intraorally.

Primescan and CEREC Software offer speed, simplicity and accuracy in high resolution digital impressions for improved clinical outcomes and profit potential.

CEREC Primemill delivers quality, speed, convenience, and versatility for outstanding margins and surface details.

CEREC SpeedFire is the smallest and fastest sintering furnace available. Glaze CEREC Tessera abutment crowns in about 4.5 minutes.

  • Substrate preparation
  • Extraoral cementation TiBase/Ceramic Structure
  • Screwing in the hybrid abutment crown intraorally

CHOOSING THE RIGHT CEMENT

Recommendations for CEREC Tessera restorations with Dentsply Sirona Calibra cements

The answer to which cement is correct for a certain situation depends largely on the type of restoration and its wall thickness.

  • Fundamentally all types of CEREC Tessera glass ceramic restoration can be cemented fully adhesively. 
  • Inlays, onlays and partial crowns have to be cemented fully adhesively, that is using Prime&Bond and Calibra Ceram.
  • Veneers have to be cemented fully adhesively, that is using Prime&Bond and Calibra Veneer.
  • Anterior and posterior crowns with a wall thickness of approximately 1.5 millimeters or more may also be cemented with a glass ionomer technology based cement, such as Calibra Bio or Calibra Universal.

Inlays, onlays and partial crown restorations with a wall-thickness <1.5mm

Anterior and posterior crown restorations with a wall thickness >1.5mm

Veneer restorations

CAD/CAM equipment for efficient, effective restorations

Downloads

Further resources are available within our Download Center.

Firing Recommendations

41 KB
42 KB
39 KB
43 KB
42 KB
42 KB
42 KB
39 KB
40 KB

Contact us

Find out more about our Restorative products and solutions.

1. Internal data on file. For more information, contact Consumables-Data-Requests@dentsplysirona.com