A restorative approach to Endodontics

The Results

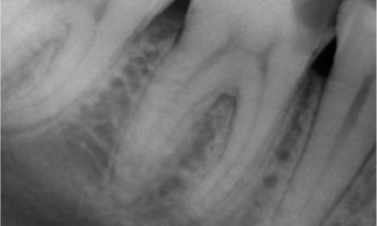
Before

Upon examination, there was a caries lesion related to the lower right first molar. Radiographic examination revealed proximity of the lesion to the pulp horn and combining it with the chief complaint, a final diagnosis of chronic irreversible pulpitis was concluded.

After

Access cavity was done as conservative as possible. TruNatomy was the system of choice due to the young patient’s age. We needed to preserve dentine as much as possible to increase the tooth ability to overcome occlusal load and increase the longevity of the final restoration.

"I chose TruNatomy to be able to preserve as much dentin as possible to overcome occlusal load and increase the longevity of the tooth."

Dr. Abuelezz

A complex case with long roots and a calcified system

The Results

Before

Periapical radiolucency associated primarily with the distal root and loss of lamina dura on the mesial root.

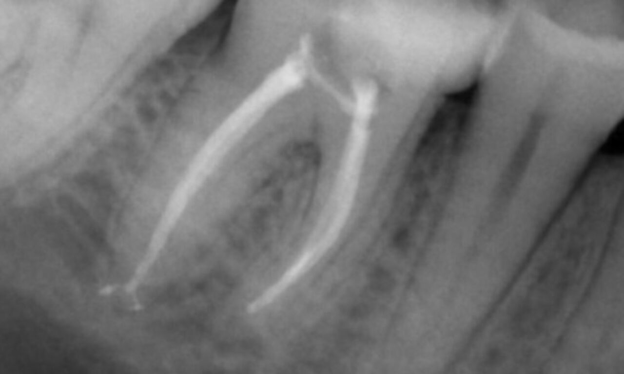
After

TruNatomy was chosen in this case to allow a caries leveraged approach and a focus on pericervical dentin preservation especially on the mesial aspect where the tooth had a more minimal restoration.

"A patient and process centered success."

Dr. Cowie

Interested in more clinical experiences?

Booklet: True, Natural, Anatomy - Discover more clinical cases and testimonials from clinicians using TruNatomy

Contact us

Find out more about our Endodontics products and solutions.

1 Compared to ProTaper Next

2 Dr. Filippo Santarcangelo (S. 8 - Clinical cases and testimonials PDF)

3 Dr. Jonathan Cowie (S. 12 - Clinical cases and testimonials PDF)