© 2025 - Dentsply Sirona, All Rights Reserved
This collection showcases various clinical cases that demonstrate the wide range of indications applicable for CEREC Tessera – from single-visit chair-side restorations to highly esthetic challenges and comprehensive oral rehabilitations including labside-fabricated restorations.
Be inspired and experience how this smart technology can support your work to make the treatment experience for you and your patients better, safer and faster.
The restoration of the first upper molar in a single visit was possible due to the efficient CEREC workflow with CEREC Primemill and CEREC SpeedFire. The patient was extremely positive about the short treatment time and the esthetic result.
Before: First upper molar had been restored with an extensive yet insufficient composite filling that already showed visible fractures.
After: Chairside-fabricated restoration made from an advanced lithium disilicate ceramic, CEREC Tessera.
Within a single visit of four hours the restoration of two crowns and two inlays, which were 15 years old, was carried out. The patient was very pleased with the very good esthetic result.
Before: Insufficient fillings in the second quadrant. The restorations were about 15 years old.
After: Chairside-fabricated crowns made from CEREC Tessera (teeth 26/27). Inlays for teeth 24 and 25 made of composite blocks.
The chairside restoration in a single visit proved to be a particularly effective and comfortable solution for this patient, as her commute to the practice was 50 kilometers. A highly esthetic inlay with CEREC Tessera could be realized.
Before: Fractured ceramic restoration made from a leucite-reinforced glass-ceramic after a clinical service time of 12 years.
After: Chairside-fabricated restoration made from an advanced lithium-disilicate ceramic CEREC Tessera.
An esthetic rehabilitation in the anterior region could be realized with labside CEREC Tessera restorations veneered with Celtra Ceram.
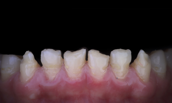
Before: The treatment objective was to rehabilitate the anterior maxilla and mandible for esthetic improvement. The clinical diagnosis revealed ameloenesis imperfecta.
After: Labside- fabricated restoration made from advanced lithium-disilicate ceramic CEREC Tessera and for the high esthetic result, the veneering with Celtra Ceram.