Benefits

Why choose Neo Spectra ST flow?

Flow on demand handling

Versatile material stays in place until you initiate flow with instrumentation. Available in your choice of Compula Tips or syringes.

One product, several applications

From repairing small defects to ensuring ideal esthetics, you’ll find many ways to get the job done.

Streamlined shade coverage

Chameleon blending enables coverage of the full VITA®² range with only 5 shades. This matching flowable is the perfect compliment to Spectra ST universal composite.

Esthetics that last

Get more from your flowable composite with trusted strength, stain resistance and great shine after polishing.

"Superior flow with nice chameleon effect."

Dr. Tobias Neumann, Heidenheim, Germany

"Adaptation and stackability are 100% convincing."

Dr. Thomas Weinberger, Linz, Austria

“Bulk fill composites are fast and easy to use for larger cavities, but for esthetically challenging cavities, the use of a conventional, highly esthetic layering composite should be considered as an alternative.”

Prof. Dr. Claus-Peter Ernst, Mainz, Germany

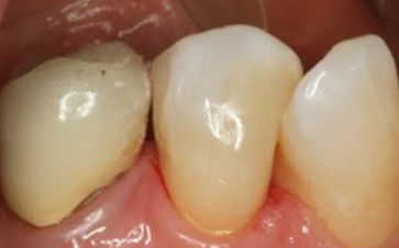
Before & After

Recurrent decay was present under the previous DO and MO restorations.

Nearly invisible: the restoration after moistening with saliva.

 

Download Case Study >

Downloads

Further downloads are provided within our Download Center.

183 KB

FAQs

Neo Spectra ST flow is a visible light cured flowable composite resin restorative material designed for enhanced simplicity and versatility in esthetic flowable applications.

It is indicated for use in all traditional flowable indications including anterior and posterior teeth for direct restoration of cavities (except occlusal stress bearing Class II cavities), lesions, build-up of teeth, repair of defects, pit and fissure sealants, and cementation of light transmissible indirect restorations.

SphereTEC is the new proprietary filler technology used in Neo Spectra ST.

The SphereTEC filler particle manufacturing process uses submicron glass and spray-granulation to produce well-defined, pre-polymerized spherical filler particles. 

The SphereTEC fillers’ morphology, particle size distribution and surface microstructure are the key for the excellent handling, strength, and polishing characteristics of Neo Spectra ST. 

Neo Spectra ST flow composite restorative is available in pre-dosed Compula Tips containing 0.25 g of material with a small dispensing tip for easy cavity access & syringes containing 1.8 g of material, with small, disposable syringe tips for easy cavity access. 

Neo Spectra ST flow is designed to perfectly match Neo Spectra ST (A1, A2, A3, A3.5, A4, BW) and Neo Spectra ST Effects (D1, D3, E1) universal composite shades. It also has excellent polish and stain resistance, so the user essentially selects the handling that is appropriate for the application and can count on the same great aesthetic results. 

Neo Spectra ST flow is chemically compatible with conventional (meth)acrylate-based dentin/enamel adhesives including Dentsply Sirona adhesives designed for use with visible light cured composite restoratives, like Prime&Bond universal adhesive. 

Contact us

Find out more about our Restorative products and solutions.

1. Dentsply Sirona User Evaluation, 2021

2. VITA® is not a registered trademark of Dentsply Sirona.