© 2025 - Dentsply Sirona, All Rights Reserved
It’s time to expect more from your flowable composite. More versatility. More shade-matching qualities. More ways to manage the small repairs you face every day.
With Neo Spectra ST flow, you’ll find a flowable composite designed for streamlined shade coverage, optimized handling and lasting esthetics. See why so many dentists consider Neo Spectra ST flow their “go-to” flowable, patient after patient.
Why do 96% of clinicians in a recent user study intend to continue use of Neo Spectra ST flow after 36 months of use?1 Because this one flowable composite offers the key benefits and total reliability they reach for daily.
Benefits
Versatile material stays in place until you initiate flow with instrumentation. Available in your choice of Compula Tips or syringes.
From repairing small defects to ensuring ideal esthetics, you’ll find many ways to get the job done.
Chameleon blending enables coverage of the full VITA®² range with only 5 shades. This matching flowable is the perfect compliment to Spectra ST universal composite.
Get more from your flowable composite with trusted strength, stain resistance and great shine after polishing.
Take advantage of optimal versatility when working with a wide range of indications. Neo Spectra ST flow is designed to stay in place until you initiate the flowable composite with instrumentation. Choose from single use Compula Tips or syringe.
"Superior flow with nice chameleon effect."
Dr. Tobias Neumann, Heidenheim, Germany
"Adaptation and stackability are 100% convincing."
Dr. Thomas Weinberger, Linz, Austria
“Bulk fill composites are fast and easy to use for larger cavities, but for esthetically challenging cavities, the use of a conventional, highly esthetic layering composite should be considered as an alternative.”
Prof. Dr. Claus-Peter Ernst, Mainz, Germany
Recurrent decay was present under the previous DO and MO restorations.
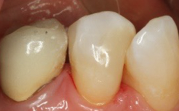
Nearly invisible: the restoration after moistening with saliva.
Further downloads are provided within our Download Center.
Neo Spectra ST flow is a visible light cured flowable composite resin restorative material designed for enhanced simplicity and versatility in esthetic flowable applications.
It is indicated for use in all traditional flowable indications including anterior and posterior teeth for direct restoration of cavities (except occlusal stress bearing Class II cavities), lesions, build-up of teeth, repair of defects, pit and fissure sealants, and cementation of light transmissible indirect restorations.
SphereTEC is the new proprietary filler technology used in Neo Spectra ST.
The SphereTEC filler particle manufacturing process uses submicron glass and spray-granulation to produce well-defined, pre-polymerized spherical filler particles.
The SphereTEC fillers’ morphology, particle size distribution and surface microstructure are the key for the excellent handling, strength, and polishing characteristics of Neo Spectra ST.
Neo Spectra ST flow composite restorative is available in pre-dosed Compula Tips containing 0.25 g of material with a small dispensing tip for easy cavity access & syringes containing 1.8 g of material, with small, disposable syringe tips for easy cavity access.
Neo Spectra ST flow is designed to perfectly match Neo Spectra ST (A1, A2, A3, A3.5, A4, BW) and Neo Spectra ST Effects (D1, D3, E1) universal composite shades. It also has excellent polish and stain resistance, so the user essentially selects the handling that is appropriate for the application and can count on the same great aesthetic results.
Neo Spectra ST flow is chemically compatible with conventional (meth)acrylate-based dentin/enamel adhesives including Dentsply Sirona adhesives designed for use with visible light cured composite restoratives, like Prime&Bond universal adhesive.
1. Dentsply Sirona User Evaluation, 2021
2. VITA® is not a registered trademark of Dentsply Sirona.