© 2025 - Dentsply Sirona, All Rights Reserved
TruNatomy is a comprehensive endodontic solution that offers:
In this collection of testimonials, clinicians are sharing their experiences with TruNatomy. From simple cases2 to complex ones3, TruNatomy is a solution that follows clinicians in their daily practice.
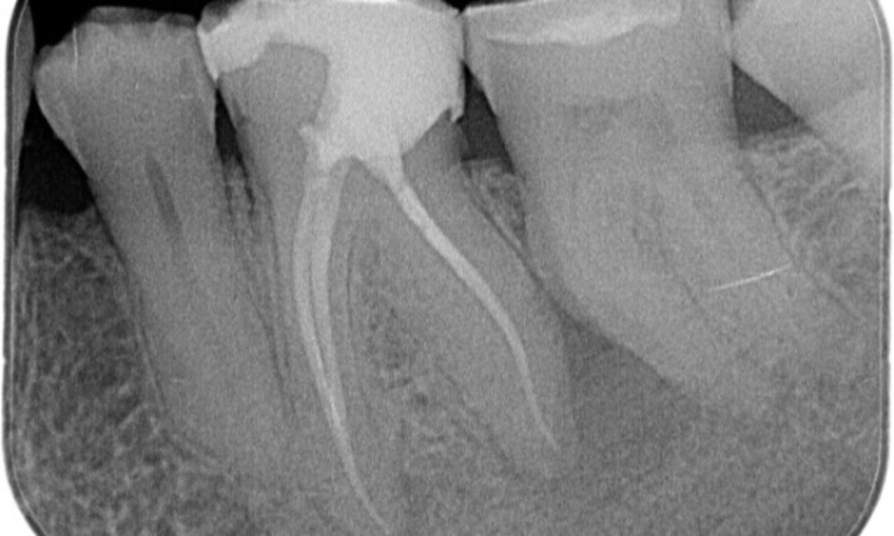
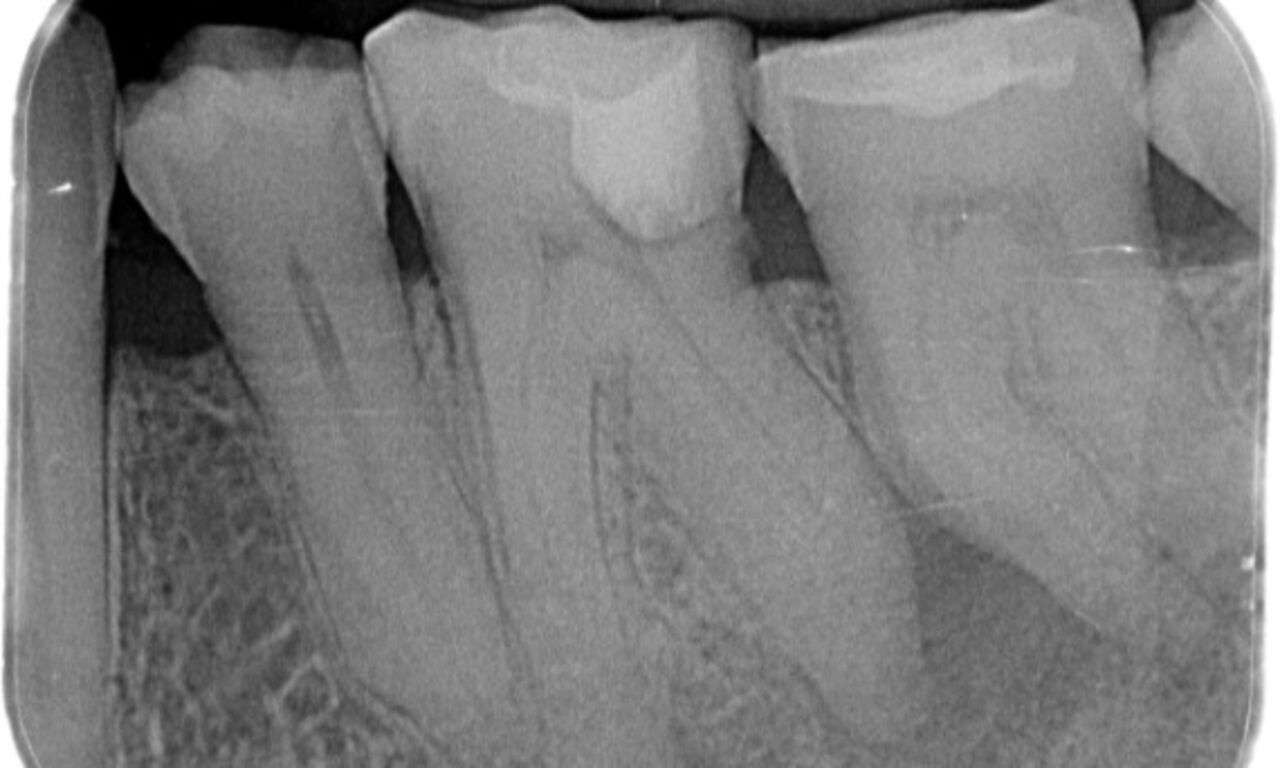
Upon examination, there was a caries lesion related to the lower right first molar. Radiographic examination revealed proximity of the lesion to the pulp horn and combining it with the chief complaint, a final diagnosis of chronic irreversible pulpitis was concluded.
Access cavity was done as conservative as possible. TruNatomy was the system of choice due to the young patient’s age. We needed to preserve dentine as much as possible to increase the tooth ability to overcome occlusal load and increase the longevity of the final restoration.
"I chose TruNatomy to be able to preserve as much dentin as possible to overcome occlusal load and increase the longevity of the tooth."
Dr. Abuelezz
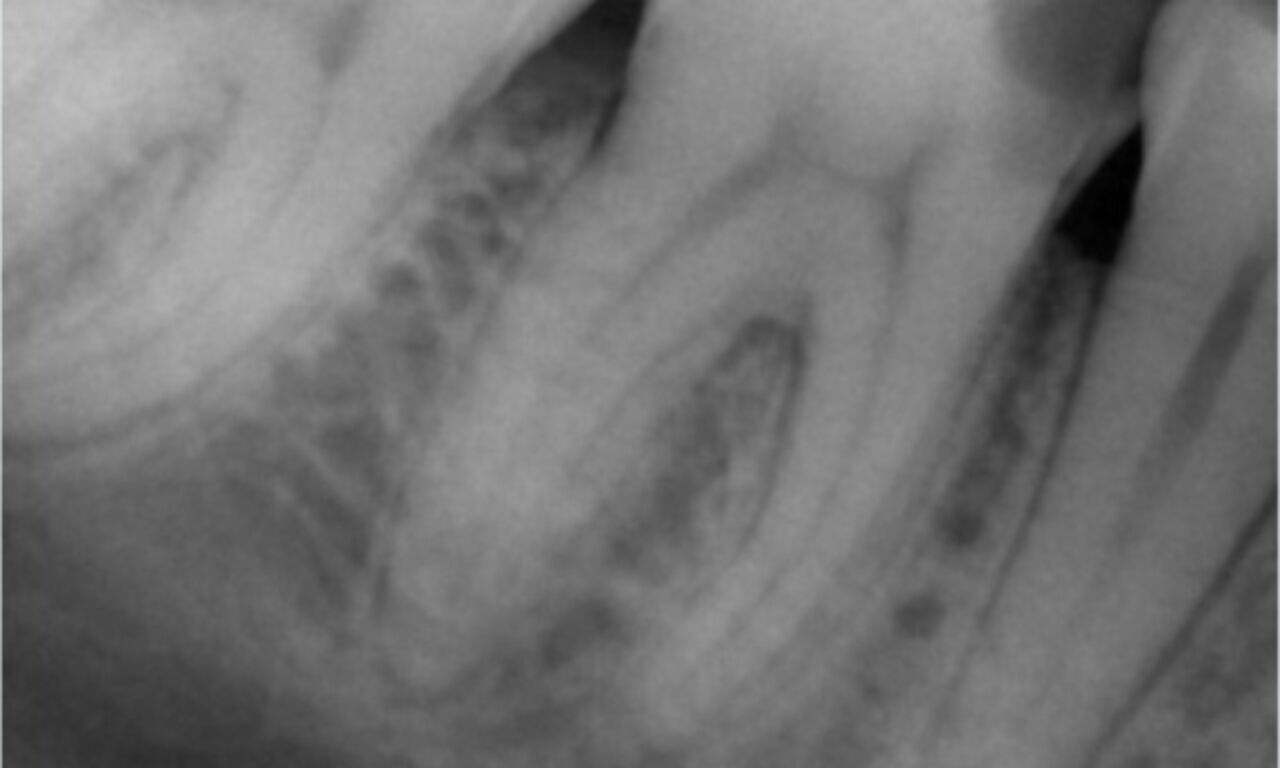
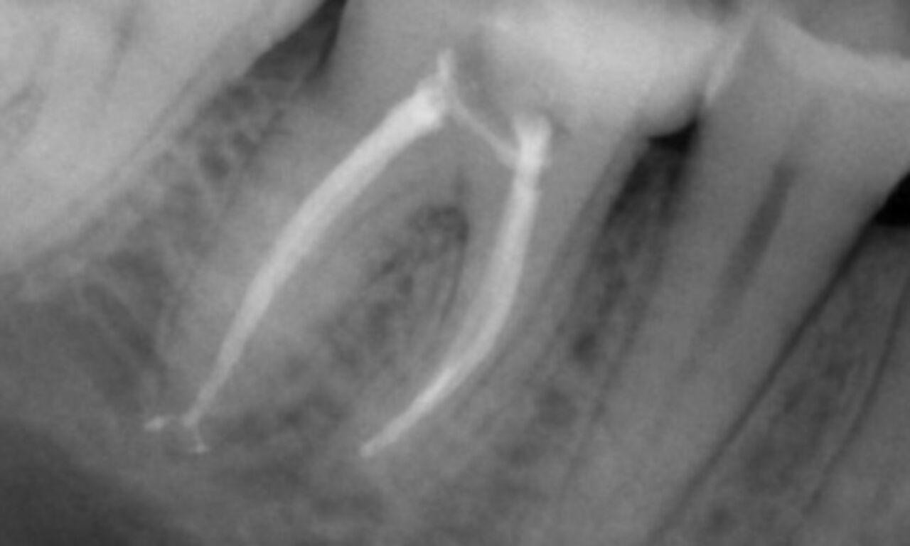
Periapical radiolucency associated primarily with the distal root and loss of lamina dura on the mesial root.
TruNatomy was chosen in this case to allow a caries leveraged approach and a focus on pericervical dentin preservation especially on the mesial aspect where the tooth had a more minimal restoration.
"A patient and process centered success."
Dr. Cowie
Booklet: True, Natural, Anatomy - Discover more clinical cases and testimonials from clinicians using TruNatomy
1 Compared to ProTaper Next
2 Dr. Filippo Santarcangelo (S. 8 - Clinical cases and testimonials PDF)
3 Dr. Jonathan Cowie (S. 12 - Clinical cases and testimonials PDF)